Birthday: July 1, 2011
Breed: Mountain Cur Mix
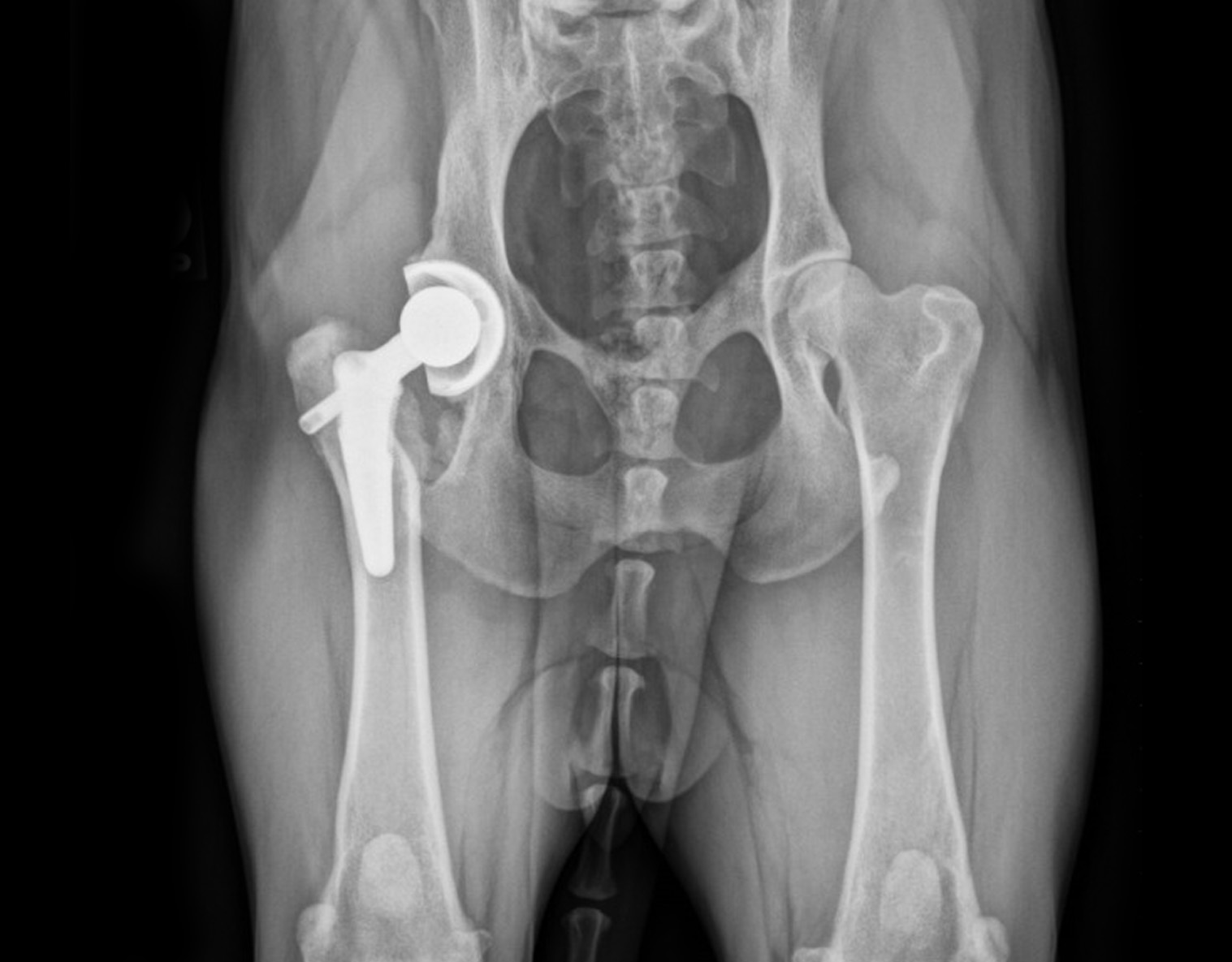
Date of Surgery: July 10, 2018
Product: BFX® Hip with Lateral Bolt Stem
Surgeon: Dr. Jonathan Dyce; The Ohio State University Veterinary Medical Center, Columbus, Ohio
Referring Veterinarian: Dr. Cindy Lightner; Greenbrier Veterinary Hospital, Lewisburg, West Virginia


“Bailey was rescued when she was approximately 2 years old. Her owner noticed hind-limb lameness and had her evaluated. X-rays revealed a fractured hip at which time a Femoral Head Ostectomy (FHO) was performed. Bailey healed well and lead an active lifestyle for 4 years before pain returned. She was then referred to Dr. Dyce who confirmed she was a good candidate for Total Hip Replacement. The surgery was successful and now, at 4 years post-op and 10 years of age, Bailey acts like a young pup! She goes on 12 mile runs with no apparent pain or issues, plays fetch with reckless abandon, leaps, and jumps.”
– Contributed by Kim McKenzie, RVT, The Ohio State University Veterinary Medical Center

